Ästhetische Zahnheilkunde und Zahnersatz
Unsere Praxis und unser Dentallabor sind spezialisiert auf die ästhetische Zahnheilkunde mit Fokus Zahnersatz. Wir bieten unseren Patienten eine breite Auswahl von individuellen Lösungsansätzen an. Alles "Made in Germany" und zahnmedizinische Dienstleistungen unter einem Dach aus einer Hand.
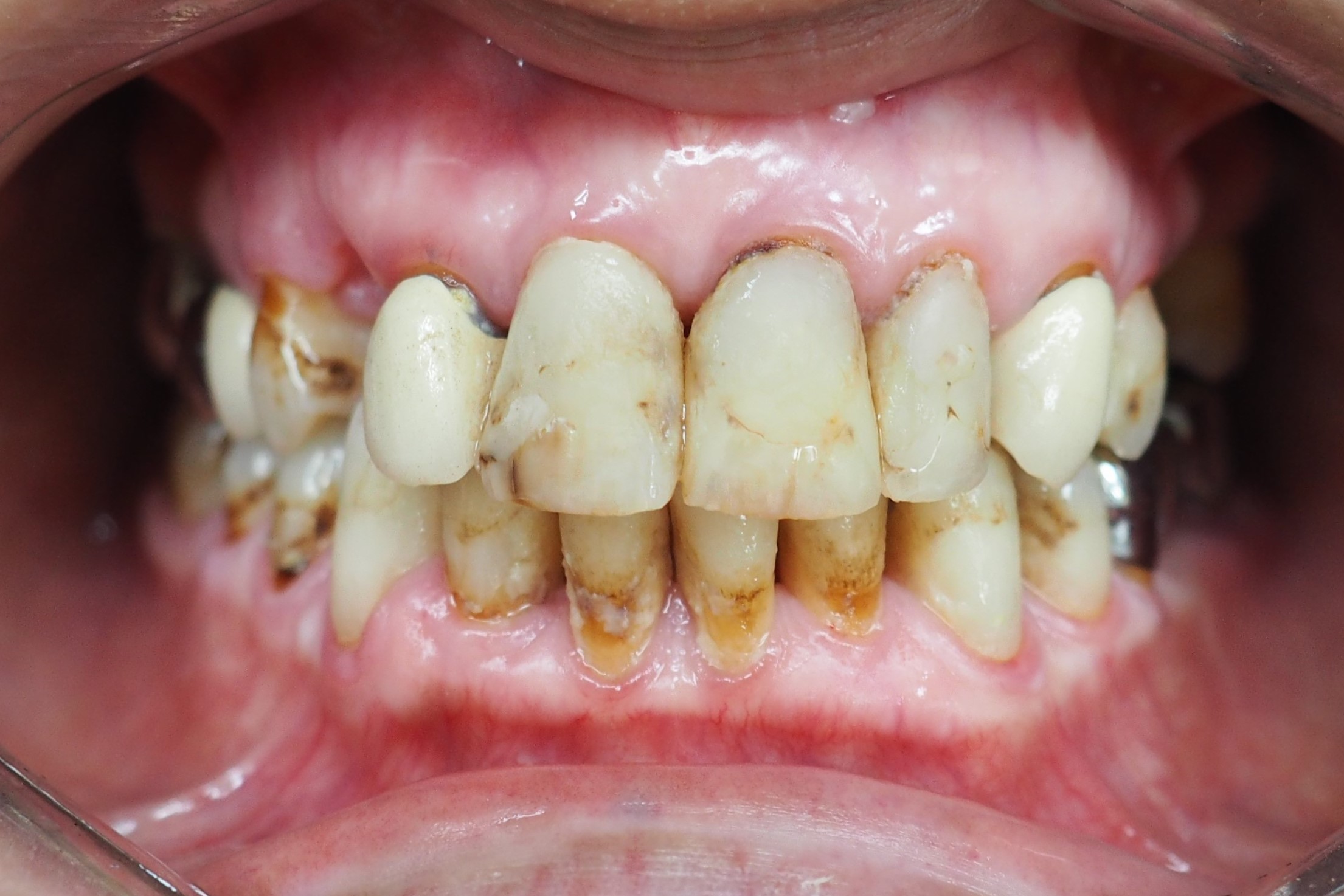
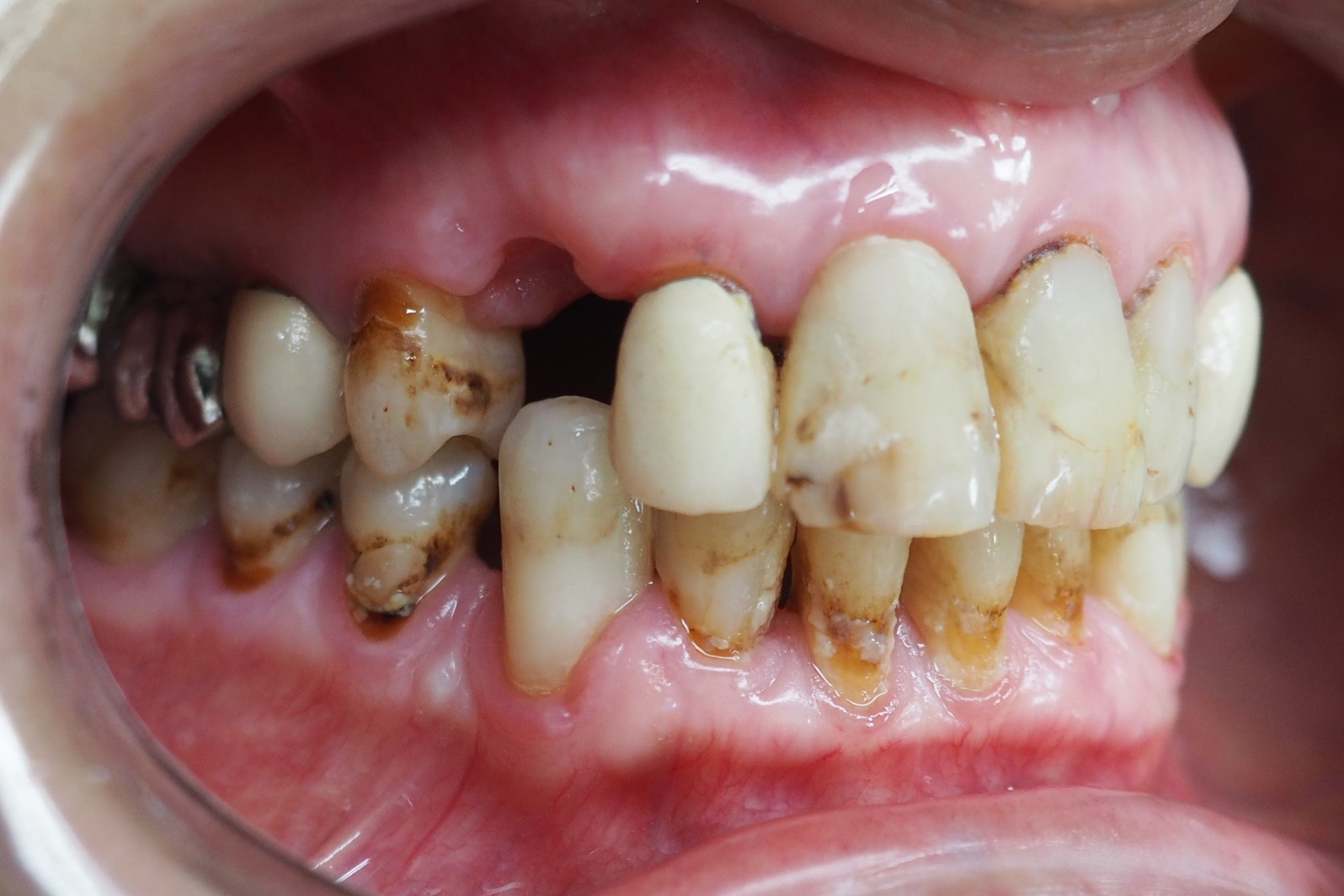
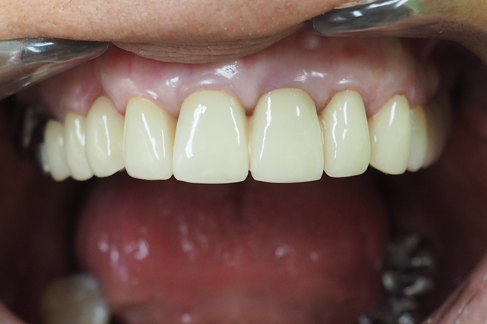
In diesem Blog dokumentieren wir zahlreiche Beispiele, wo wir unterschiedliche Arbeiten (Zahnersatz) und Dienstleistungen anhand einer konkreten Ausgangssituation in unserer Praxis erfolgreich umsetzen konnten. Alle dargestellten Patienten verließen vollkommen zufrieden unsere Praxis und zeigen nun Stolz Ihr neues Lächeln.
Gesunde Zähne sind ein Stück Lebensqualität. Machen Sie sich Ihr eigenes Bild unseres Könnens.
Sie können anhand folgender Auswahlkriterien filtern:
- Zahnersatz
- Keramik (Zirkon / Lithiumdisilikat)
- Ästhetische Zahnheilkunde
- Krone/n Zahnersatz
- Brücke/n Zahnersatz
- Presskeramik
- Eigenlabor
- Fräszentrum
- Icon - Kariesinfiltration oder ästhetische Wiederherstellung nach genetischen Schmelzdbildungsstörung ("Kreidezähne")
- Regelversorgung



