2020-01-14
Patientin 21 Jahre, weiblich
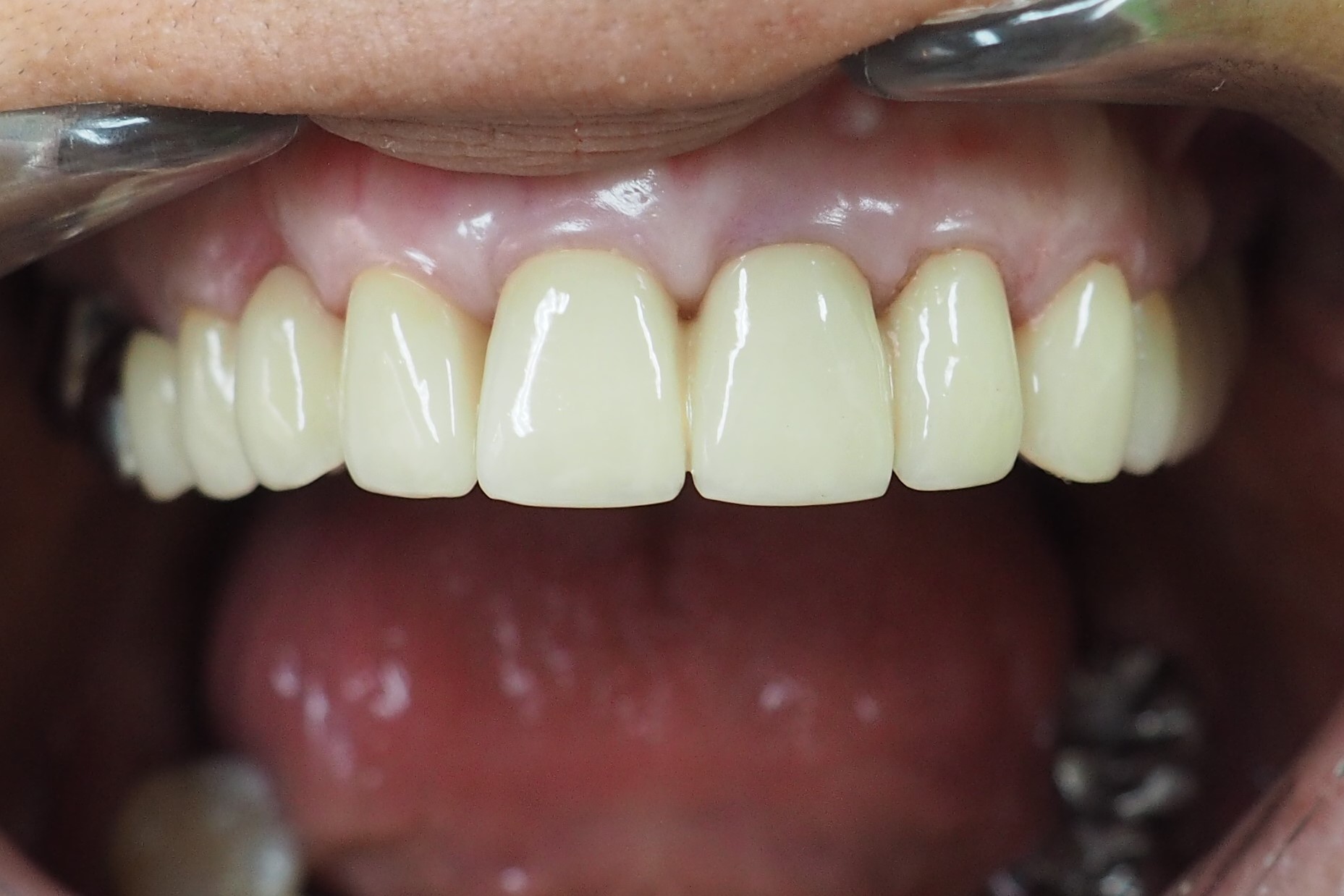
VORHER

NACHHER

Die junge (Neu-)Patientin stellte sich bei uns zur Kontrolluntersuchung vor und äußerte den Wunsch, ihre Frontzähne 12-22, die seit ihrer Geburt so verfärbt sind, ästhetisch zu korrigieren. Keine zwei Wochen später dieses tolle Ergebnis. Äußerst zufrieden verließ unsere Patientin die Praxis - mit einem stolzen Lächeln auf den Lippen :-)
Admin - 08:19:53 @ Keramik (Zirkon / Lithiumdisilikat), Eigenlabor, Krone/n Zahnersatz, Presskeramik, Ästhetische Zahnheilkunde
|
Kommentar hinzufügen
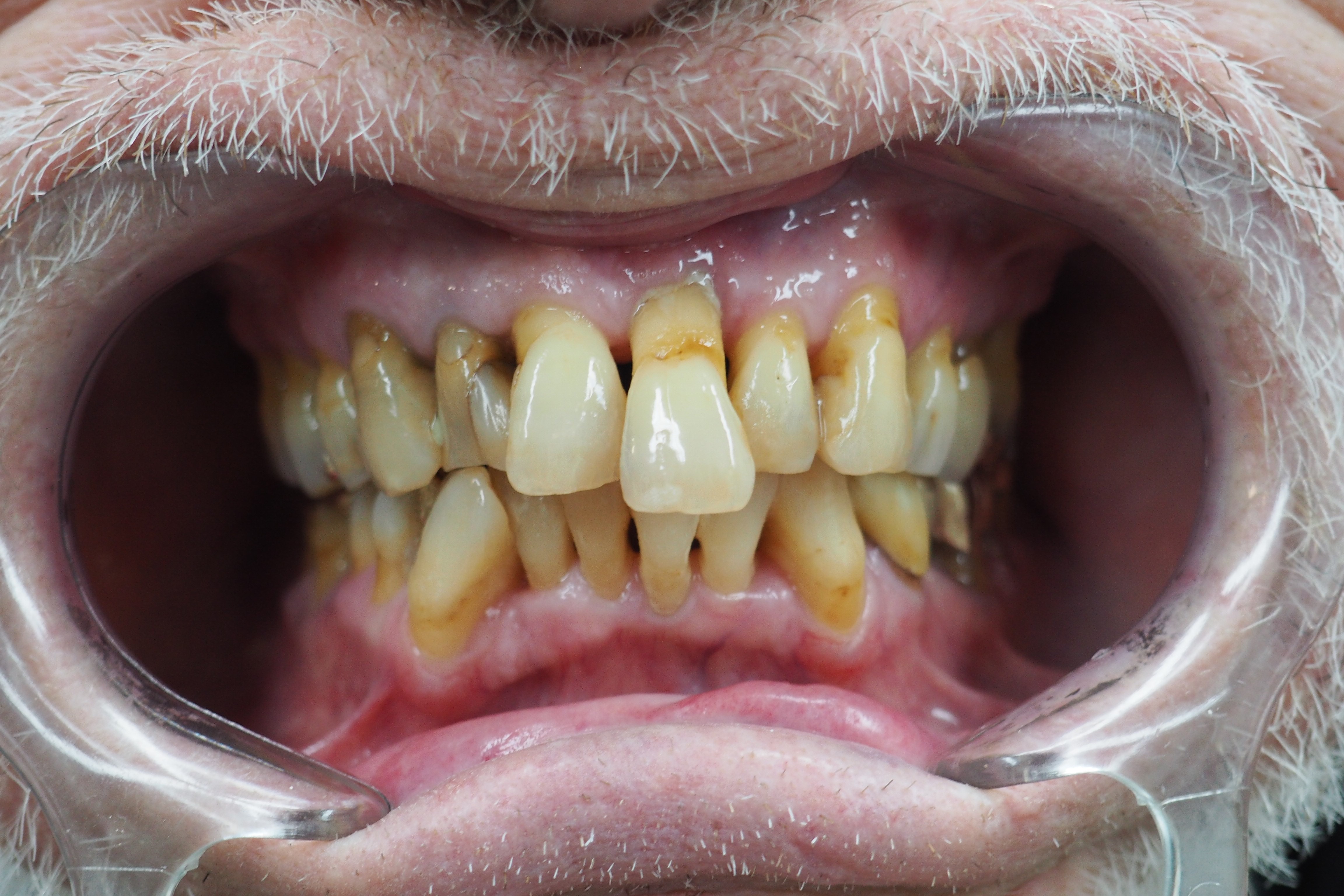
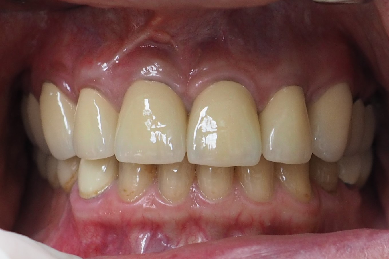
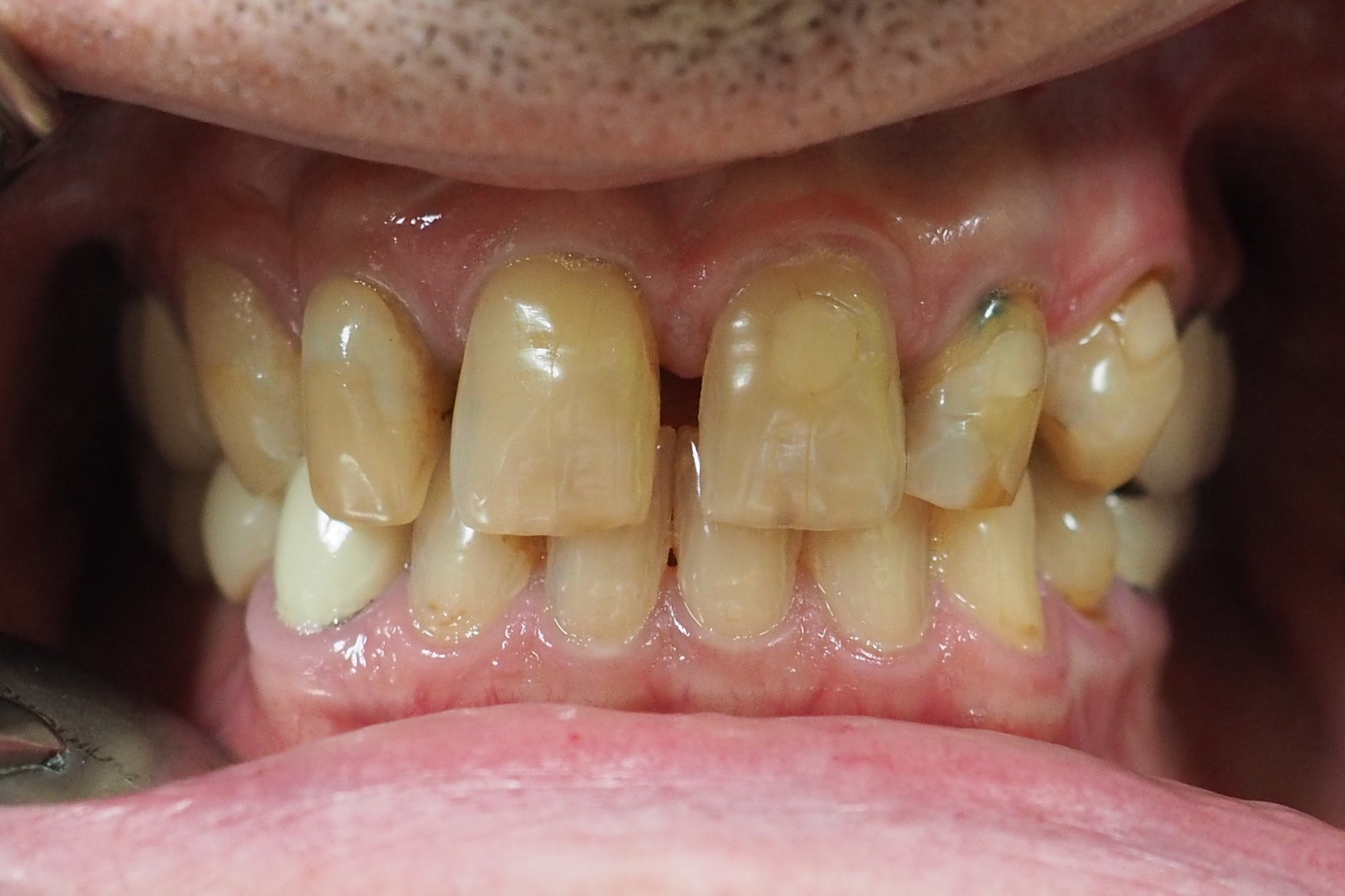
Patient 79 Jahre, männlich
VORHER


NACHHER

Patient stellt sich mit gelockerten Frontzähnen in der Praxis vor. Diese wurden als nicht erhaltungswürdig diagnostiziert und wurden in unserer Praxis entfernt. Der Patient wünschte eine Versorgung von Zahn 13 bis 23. Diese wurden kurzerhand in unserer Praxis aus Keramik hergestellt, auf Patientenwunsch und in Abstimmung mit unserem Zahntechniker in Hinblick auf Form, Aufstellung und Aussehen individualisiert und bereits wenige Tage nach dem Erstbesuch eingegliedert. Der Patient ist erfreut über die kurze Behandlungsdauer und das tolle Ergebnis.
Admin - 07:53:08 @ Zahnersatz, Keramik (Zirkon / Lithiumdisilikat), Eigenlabor, Brücke/n Zahnersatz, Krone/n Zahnersatz, Ästhetische Zahnheilkunde
|
Kommentar hinzufügen
2019-08-15
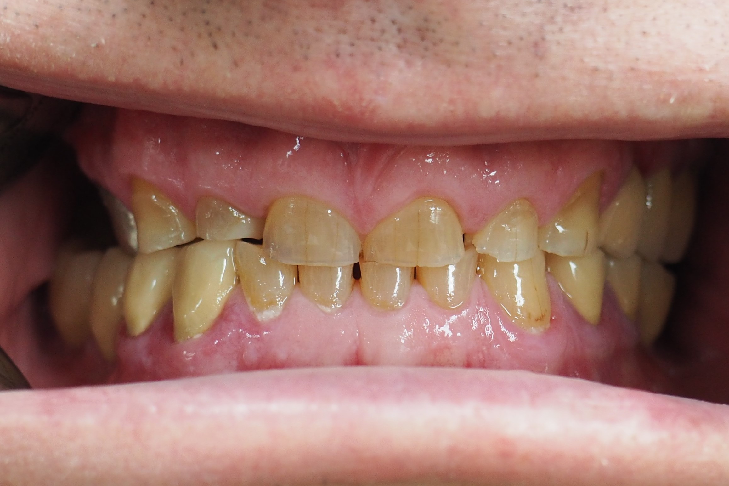
Patient 66 Jahre, männlich
VORHER

NACHHER

Der Patient ist starker Knirscher (Bruxismus) und stellt sich mit abradierten Zähnen (Zahnabrasion) vor. Es ist eine Bisserhöhung und neuer Zahnersatz im Ober- und Unterkiefer notwendig.
Der Patient wünschte keine Implantatversorgung im Backenzahnbereich, sondern eine Brückenversorgung. Zudem wünscht er im ersten Schritt zunächst den Zahnersatz im Oberkiefer. Eine neue Unterkieferversorgung soll zum späteren Zeitpunkt erfolgen.
Als Material wurden unterschiedliche Varianten mit dem Patienten besprochen. Er hat sich letztlich für eine NEM (Metall) Versorgung als Basis für die Kronen und Brücken entschieden. Dieses Gerüst wird mit Keramik von unserem Labortechniker vollverblendet.
Das Ergebnis kann sich sehen lassen. Endlich sieht man wieder Zähne beim Lächeln :-)
Admin - 15:23:46 @ Zahnersatz, Keramik (Zirkon / Lithiumdisilikat), Eigenlabor, Brücke/n Zahnersatz, Krone/n Zahnersatz, Ästhetische Zahnheilkunde
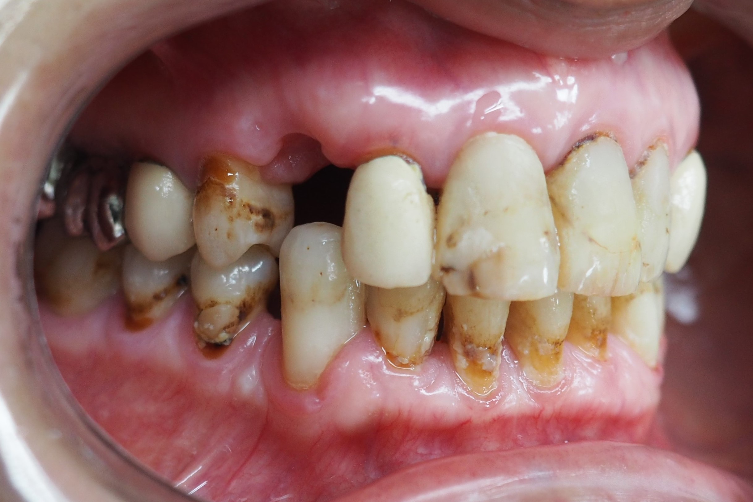
2019-08-12
Patient: 62 Jahre alt, männlich
VORHER:

NACHHER:



Herausforderung und Lösung:
Der Neupatient wollte eine Zweitmeinung von uns. Bei vergleichbarer Leistung (gleicher Zahnersatz) hatte der Patient einen geringeren Eigenanteil zu tragen. Nach einer gewünschten Bedenkzeit entschied sich dieser den anstehenden Zahnersatz im Oberkiefer in unserer Praxis herstellen zu lassen. Neben dem preislichen Vorteil überzeugte insbesondere unsere Beratungsleistungen und unser moderner und digitalunterstützte Ansatz der ästhetischen Zahnheilkunde.
Das Gerüst der Kronen sollte aus NEM (Metall) hergestellt werden plus Vollverblendung (zahnweiß) aus Keramik mit individueller Farbgestaltung durch unseren Zahntechniker.
Was sagt unser Patient?
“Ich bin vollkommen überwältigt: Das Ergebnis überzeugt und der gesamte Behandlungsprozess von der Beratung beim Erstgespräch über die Termine für die Zahnersatz-Herstellung bis zum finalen Einsetzen überzeugten durch Professionalität und Können. Der krönende Abschluss ist, dass ich trotz dieser tollen Arbeit auch noch (deutlich) weniger selber zu zahlen habe, als mein erster Kostenvoranschlag meines ehemaligen langjährigen Zahnarztes.”
“Jetzt kann ich endlich wieder Lächeln und meine Zähne zeigen!”
Admin - 16:20:43 @ Zahnersatz, Eigenlabor, Krone/n Zahnersatz, Ästhetische Zahnheilkunde
Patient 36 Jahre alt, männlich
VORHER:
NACHHER:

“Tolles Ergebnis - hätte mir mal ein Zahnarzt die Behandlungsmöglichkeiten vor 20 Jahren dargestellt. Ich bin begeistert!”
Die Herausforderung:
Karies im Anfangsstadium führt zur Veränderung der Farbschattierung auf glatten Oberflächen; sogenannter “White Sports”. Oft treten diese nach dem Entfernen von Zahnspangen auf.
Die Lösung:
Die innovative Methode der Kariesinfiltration mit Icon gleicht sich durch die Behandlung die Läsion optisch dem gesunden Schmelz an. Die Behandlung ist vollkommen schmerzfrei, ohne Anästhesie, ohne Bohren. Die gesunde Zahnsubstanz bleibt bei der Behandlung erhalten.
Update des Patienten nach vier Wochen: “Meine private Krankenversicherung hat die Behandlung zu 100% anerkannt :-)”
Anmerkung der behandelnden Zahnärztin:
Der Patient wünschte keine Glättung der Frontzahnkante, was das optische Bild nochmals verbessern würde. Auch dieser kurze Eingriff wäre schmerzfrei und binnen Minuten erledigt.
Admin - 12:04:43 @ Icon - Kariesinfiltration, Ästhetische Zahnheilkunde
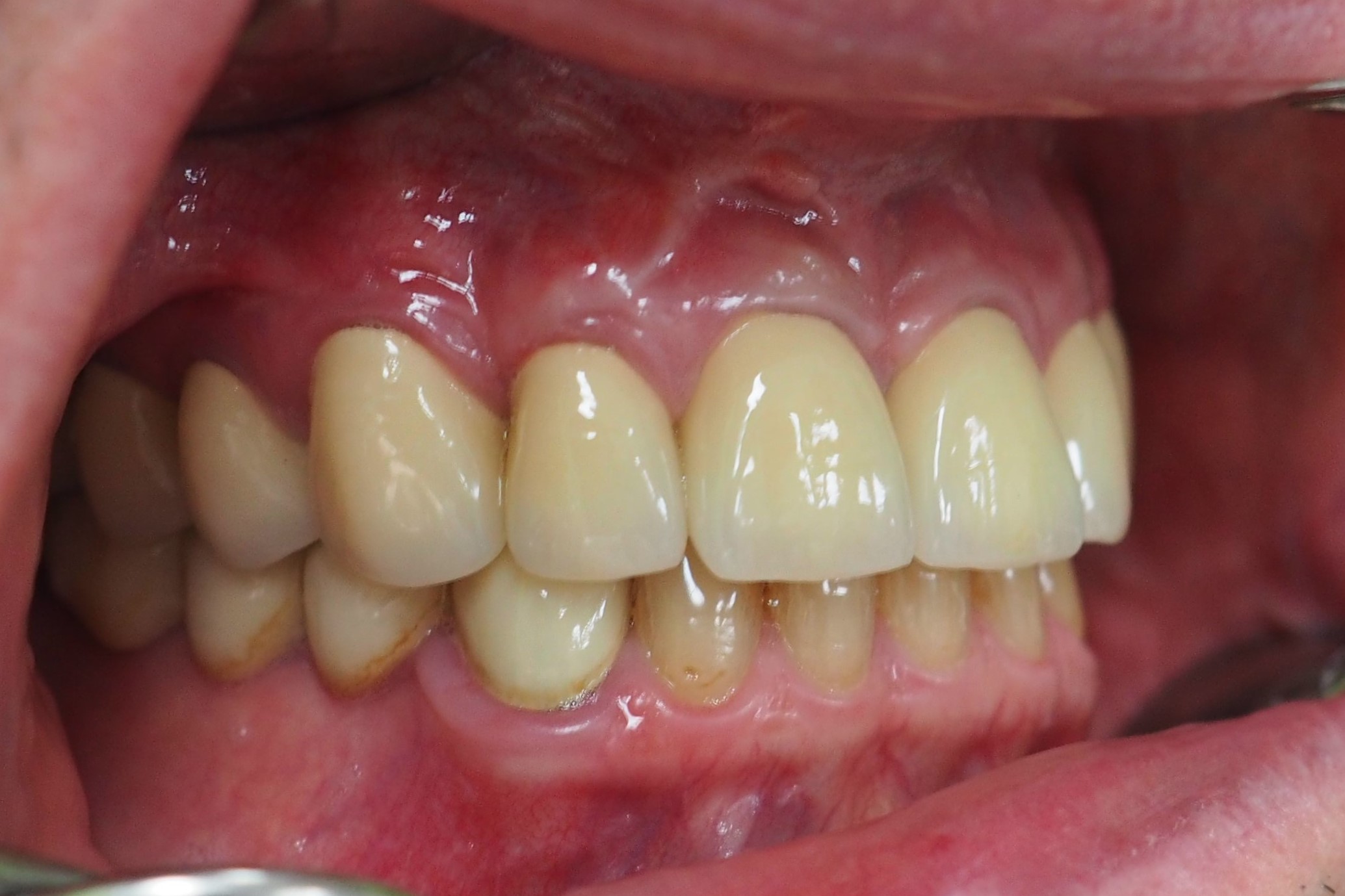
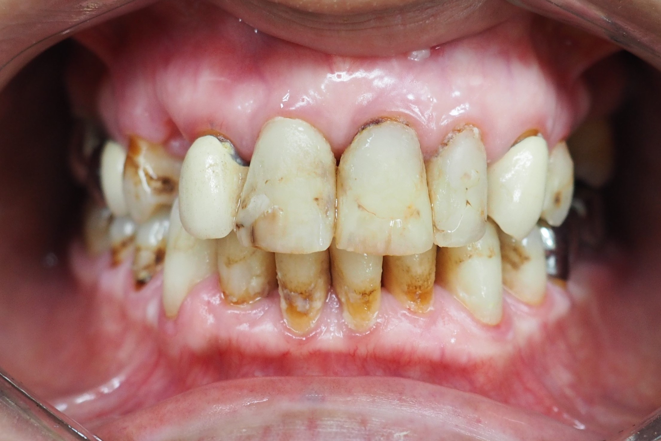
Patientin, 40 Jahre alt, weiblich
Die Patientin stellte sich als große Angstpatientin vor, die viele Jahre lang nicht beim Zahnarzt vorstellig war. Nach erfolgter Schmerztherapie (Wurzelkanalbehandlung) wurden diverse Aufbaufüllungen (Konservative Behandlung) durchgeführt, im Rahmen einer Professionellen Zahnreinigung (PZR) wurden diverse Verfärbungen neben Zahnstein entfernt und die Patientin über die Möglichkeiten der Mundhygiene/-gesundheit aufgeklärt.
VORHER:

NACHHER:


Der Zahnersatz (Brücken & Kronen) wurde aus Vollkeramik (Zirkon) gefräst hergestellt. Gute Qualität kann zum guten Preis (geringer Eigenanteil) durch das industrielle Verfahren und der computerunterstützten Produktion hergestellt werden.
Admin - 12:04:04 @ Zahnersatz, Keramik (Zirkon / Lithiumdisilikat), Fräszentrum, Brücke/n Zahnersatz, Krone/n Zahnersatz